• شهروند خبرنگار
  • شهروند خبرنگار آرشیو
امروز: -
  • صفحه نخست
  • سیاسی
  • اقتصادی
  • اجتماعی
  • علمی و فرهنگی
  • استانها
  • بین الملل
  • ورزشی
  • عکس
  • فیلم
  • شهروندخبرنگار
  • رویداد
پخش زنده
امروز: -
پخش زنده
نسخه اصلی
کد خبر: ۳۴۷۵۶۳۷
تاریخ انتشار: ۲۴ خرداد ۱۴۰۱ - ۰۶:۴۱
علمی و فرهنگی » علم و فناوری

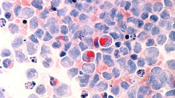
هدف قرار گرفتن سلول‌های عامل عود سرطان خون بر پایه مهندسی ژنتیک

طبق یک مطالعه پیش‌بالینی، سلول‌های ایمنی که ازطریق ژنتیکی مهندسی شده‌اند، با موفقیت سلول‌های سرطانی خاصی را هدف قرار می‌دهند که احتمالاً مسئول عود نوعی از سرطان خون به نام لوسمی حاد میلوئیدی (AML) هستند.

هدف قرار گرفتن سلول‌های عامل عود سرطان خون برای درمان با سلول‌های CAR Tبه گزارش خبرگزاری صدا وسیما، به نقل از مرکز توسعه علوم و فناوری‌های سلول‌های بنیادی، این سلول‌درمانی جدید که اکنون در فاز یک آزمایش‌های بالینی، ممکن است در نهایت به بیماران مبتلا به لوسمی حاد میلوئیدی کمک کند و مانع از بازگشت سرطان شود.

در این مطالعه محققان از رویکردی استفاده کردند که در آن سلول‌های T برای تولید پروتئین‌هایی به نام گیرنده‌های آنتی‌ژن کایمریک یا CAR هدایت می‌شوند که سلول‌های T را قادر می‌سازد تا نشانگر‌های خاصی را روی سلول‌های سرطانی تشخیص دهند.

در این جا، CAR گیرنده‌ای است که به مولکول CD۱۲۳ روی سلول‌های بنیادی سرطان خون متصل می‌شود و سلول‌های T را قادر می‌سازد تا در جستجوی سلول‌های سرطانی بوده و آن‌ها را مورد حمله قرار دهند. CD۱۲۳ نشانگری است که روی سلول‌های بنیادی سرطان خون یافت می‌شود.

دکتر Guzman از محققان این پروژه می‌گوید، سلول‌های CAR-T به نام سلول‌های UCART۱۲۳، که در این مطالعه استفاده شده‌اند، چندین ویژگی بسیار مهم از جمله اینکه یک نشانگر سلول‌های بنیادی سرطان خون را هدف قرار می‌دهند، از اهداکنندگان سالم گرفته شده‌اند و به گونه‌ای طراحی شده‌اند که در صورت لزوم برای بیماران آماده باشند و سمیّت حداقلی دارند.

هنگامی که این تیم سلول‌های UCART۱۲۳ را در مدل موش AML آزمایش کردند، دریافتند که این نوع درمان به طور مؤثر سلول‌های سرطان خون را از بین می‌برد. نتایج مطالعات پیش‌بالینی نشان داد که سلول‌های UCART۱۲۳ در هدف قرار دادن لوسمی حاد میلوئیدی بسیار اختصاصی هستند.

بازدید از صفحه اول
ارسال به دوستان
نسخه چاپی
گزارش خطا
Bookmark and Share
X Share
Telegram Google Plus Linkdin
ایتا سروش
عضویت در خبرنامه
نظر شما
آخرین اخبار
هشدار سازمان غذا و دارو درباره تقلبی بودن عصاره زعفران
بررسی مشکلات عمرانی شهرستان شهریار با حضور مسئولان
کدو‌هایی که آجیل می‌شوند
مسئولان سلماس از همسر شهید اسماعیل زارعی تکریم کردند
کادر درمان نیروی زمینی سپاه حضور فعال و مؤثری در مناطق محروم دارد
آغاز به‌کارکنفرانس ملی آینده‌نگاری فناوری و نقش آن در حکمرانی
بیش از ۳ هزار و۸۶۰ زوج نابارور زیرپوشش بیمه سلامت هستند
صابر کاظمی به تهران منتقل می‌شود
برگزاری نهمین کاروان ترویج بهره‌وری در خوی با محوریت الگوی کشت و سازگاری با تغییر اقلیم
خلیج فارس همچنان مواج و متلاطم
تجلیل فرمانده سپاه خوی از پرستاران به مناسبت روز پرستار
کمینه و بیشینه دمای پنجم آبان ماه در سمنان
ارتقای دانش رسانه‌ای در فضای هوش مصنوعی
تشدید برخورد پلیس با خودرو‌های نامتعارف در کردستان
برداشت ۵ تن زعفران در یزد
برگزاری همایش بین المللی سرمایه‌گذاری در صنعت نفت
ظرفیت خانواده دانش‌آموزی برای ترویج مصرف کالای ایرانی
آزادی ۸۰ زندانی در کهگیلویه وبویراحمد به میمنت ولادت حضرت زینب سلام الله علیها
اعلام فرایند و شرایط ثبت‌نام از داوطلبان عضویت در شورای اسلامی روستا
ایران، کانون تصمیم سازی اقتصادی منطقه
  • پربازدیدها
  • پر بحث ترین ها
محمود عباس: حسین الشیخ جای من را خواهد گرفت
غرب آسیا پس از سه‌هزار سال به صلح پایدار می‌رسد
نیروهای الجولانی و کردهای سوریه بار دیگر با یکدیگر درگیر شدند
پایان ۱۳ سال انتظار؛ تولد دوقلوها در بابل پس از ۶ سال فریز جنین
پخش زنده دیدار رده بندی و فینال کشتی آزاد از شبکه ورزش
گلایه از پرداخت نشدن معوقات فروردین بازنشستگان تامین اجتماعی
یک فوتی و چهار مصدوم در پی ریزش ساختمان قدیمی در خیابان جمهوری
کشتی آزاد زیر ۲۳ سال قهرمانی جهان؛ چهار نشان رنگارنگ ایران در ۴ وزن دوم
اقدام ۳ کشور اروپایی در فعال‌سازی اسنپ‌بک باطل است
کشتی آزاد زیر ۲۳ سال قهرمانی جهان؛ سینا خلیلی به نشان نقره رسید
پیروزی المپیاکوس در شب درخشش طارمی
آغاز فرآیند تعیین قیمت دارایی‌های بانک آینده
صدور مجوز آموزشگاه رانندگی از درگاه ملی مجوز‌ها
زبان معیار ۱۴۰۴/۰۸/۰۴
پیگیری مشکلات بیماران در بیمارستان‌ها
فروش اینترنتی بلیت بازی فجر سپاسی و استقلال  (۱۴ نظر)
مرمت و احیای بنای تاریخی سه‌گوش اهواز  (۲ نظر)
غرب آسیا پس از سه‌هزار سال به صلح پایدار می‌رسد  (۱ نظر)
فرصت ثبت نام حج تمتع ۱۴۰۵ برای اولویت‌های جدید فراهم شد  (۱ نظر)
گلایه از پرداخت نشدن معوقات فروردین بازنشستگان تامین اجتماعی  (۱ نظر)
حمله احتمالی دشمن ناکام‌تر از دفاع مقدس ۱۲ روزه خواهد بود  (۱ نظر)
زادگاه مبین عظیمی غرق در جشن و شادی  (۱ نظر)
ادامه روند کاهشی نرخ بیکاری  (۱ نظر)
اروپا می‌خواهد به هر قیمتی جنگ اوکراین را ادامه دهد  (۱ نظر)
آسفالت معابر شهرستان کهگیلویه در دستور کار  (۱ نظر)
سفر معاون ارشد امنیتی وزارت کشور افغانستان به تهران  (۱ نظر)
انتشار اسناد جدیدی از لانه جاسوسی برای اولین بار  (۱ نظر)
نماینده پارلمان اروپا: جهان نباید از کنار جنایات اسرائیل بگذرد  (۱ نظر)
هدف‌گیری پایگاه العدید، دشمن را به آتش‌بس التماسی واداشت  (۱ نظر)